
医療法人社団福寿会

膝関節は、大腿骨(太ももの骨)と脛骨(スネの骨)、そして大腿四頭筋(太ももの筋肉)と膝蓋腱に支えられた膝蓋骨(お皿の骨)の3つの骨が組みあわさって出来ています。脛骨の上を大腿骨が滑り転がることでひざの曲げ伸ばしが可能になります。骨の表面は軟骨というクッションの役割をする組織で覆われ、間にある半月板も関節に加わる衝撃を吸収する役割があります。大腿骨と脛骨は強靭な靭帯(前後十字靭帯、側副靭帯)でつながり、ぐらつかないようになっています。
変形性膝関節症は一次性と原因疾患に続発する二次性に分類されます。わが国では年齢による退行性変化を主因とする一次性が多く、軟骨のすり減り、骨棘(骨のとげ)を伴い、多くは内反変形(O脚)を呈します。女性に多く、特に肥満との関連が強いといわれています。膝関節には歩行するだけで体重の3倍の力がかかるといわれており、病状の予防や進行を抑えるためには体重のコントロールが最も重要です。症状には波がありますが、次第に進行し、変形も悪化してきます。まずは保存加療を行いますが、痛みが強く日常生活に支障をきたすようだと、我慢するメリットはありません。痛みのない脚でより良い人生を送るために手術という選択肢もありますので、痛みで悩まれている場合は早めにご相談ください。

大腿骨顆部は体重を支えるのに重要で、過度なストレスが加わり壊死に陥ることがあります。原因としてステロイド投与や半月板損傷後などに脆弱性骨折(軽微な外傷により軟骨下骨に微小骨折を生じる)が起こり壊死に至るとされています。安静にしていても痛みが出たり、夜間寝ている間に痛みが出ることもあります。
大腿骨顆部骨壊死
MRI
自己免疫性疾患(免疫の異常によって、体の正常組織を障害してしまう)の一種で全身のあらゆる関節の軟骨が障害される病気です。治療の基本は薬物治療で、近年は新薬の開発により治療成績が飛躍的に向上しています。しかしながら、膝・股関節などの大関節が障害を受けると日常生活が大きく障害されるため、人工関節が必要となることがあります。

骨きり術の中でも、Opening Wedge法を採用しています。骨きり術とは、脛骨(すねの骨)の一部分に切れ目を入れて、間を広げ、O脚となっている脚を軽いX脚に矯正した状態でプレートで固定する手術です。体重のかかる軸を内側から外側に移動させることで痛みが取れ、また傷んだ軟骨も再生することが知られています。人工関節と異なり、“関節温存手術”と言われ、関節の機能が温存できる、低侵襲で合併症が少ない、良好な可動域(ひざを深く曲げることが可能)、スポーツなどに制限がない、などのメリットがあり若年者や比較的軟骨の残っている場合に行われます。 デメリットとしては、切った骨が治る(骨癒合)までに時間がかかり、リハビリ・社会復帰にやや時間を要することです。

HTOの術後レントゲン

傷んだ関節表面を人工関節の形に合わせて削り、金属、セラミック、ポリエチレンでできた人工関節を骨の上に固定します。この手術を受けることで、関節の動きが滑らかになり、O脚やX脚といった変形が改善し、まっすぐな脚にすることが出来ます。人工関節の耐久性は10年間弛みなく日常生活が送れる可能性が95%以上といわれ、長期的にも安定した方法です。さらに最新の人工関節では性能が格段に良くなっており、20〜30年以上の機能することも十分期待できるようになってきました。


関節のなかで傷んだ部分だけ(多くは内側の半分だけ)を人工関節に置換します。メリットは手術の傷や削る骨の量が少ないため、術後の痛みも少なく、回復が早く、膝の曲がりもよいところです。耐久性も悪くありませんが、人工膝関節全置換術と比べると若干手技が難しく、適応をしっかり選ぶ必要があります。変形が比較的軽く、外側の軟骨や靭帯に異常がないなど、術前に専門医の診断を受けた上で、相談するようにしましょう。

UKAの術後
一般的には、内側広筋の一部を切開するMedial parapatellar approachが用いられます。視野がよく手技も簡単であるという利点がありますが、筋肉を大きく切ることで術後の痛みや筋力低下が問題となることがあります。術後の回復を第一に考え、当院ではUnderVastus approach(アンダーバスタスアプローチ)を取り入れ、出来るだけ筋肉を切らない方法でダメージの少ない手術を心がけています。ただし高度な技術が必要であり、変形の程度に応じてアプローチは使い分け、症例に応じて臨機応変に対応しています。
Medial parapatellar approach
内側広筋を大きく切開する
(青:関節包の切開線)
Under Vastus approach
筋肉を温存する
(赤:関節包の切開線)
当院にて右人工膝関節全置換術(TKA)を施行。術前、歩行も困難でしたが、術後は杖歩行も安定し、良好な可動域も獲得。入院中に反対側の人工膝関節単顆置換術(UKA)も行い、十分なリハビリ後に退院となりました。
*写真・動画はご本人の承諾を得て掲載しております。(執刀/撮影:森島)
*術後の経過には個人差があります。
[手術前]

[手術後]

〈手術前〉

〈手術後〉(右ひざ)

ひざの曲がり(術後3週)

手術前
手術後2週
当院にて人工ひざ関節全置換術(TKA)を施行。入院中に両側の手術を行い、術中に神経ブロックを併用しています。
選択的(大腿神経の内側広筋枝と伏在神経)な神経ブロックと持続カテーテル留置を行うことにより、術後に筋力の低下を伴わずに疼痛のコントロールができ、早期の離床とリハビリを行うことが可能となります。
*写真・動画はご本人の承諾を得て掲載しております。(執刀/撮影:森島)
*術後の経過には個人差があります。
〈手術前のレントゲン〉
右ひざ

左ひざ

〈手術後のレントゲン〉
右TKA後

左TKA後

<術後の下肢全長>

術前は高度なO脚を呈していましたが、術後は下肢がまっすぐになり、股関節と足関節の中心を結ぶライン(赤線)がひざ関節の中心を通っています。
手術前

手術後

手術前
手術後
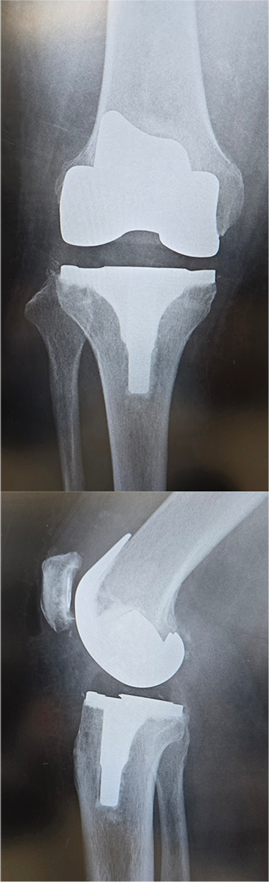
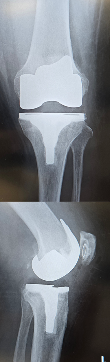
当院にて人工ひざ関節全置換術(TKA)を施行。両側の手術を同時に行いました。両側同時手術の場合でも入院期間は片側手術の場合と大きく変わらず(プラス1週間程度)、麻酔も1回で済むために身体的、経済的な負担の軽減を期待できます。また両ひざが同程度に悪いケースも少なくなく、同時に行うことで左右のバランスが良くなるためにリハビリをスムーズに進めることが可能となります。
*写真・動画はご本人の承諾を得て掲載しております。(執刀/撮影:森島)
*術後の経過には個人差があります。
〈手術前のレントゲン〉
〈手術後のレントゲン〉(正面・側面)
右膝

左膝

〈術後の膝の曲がり〉

術後4日目
術後9日目
当院にて人工ひざ関節全置換術(TKA)を施行。両側の手術を同時に行いました。両側同時手術の場合でも入院期間は片側手術の場合と大きく変わらず(プラス1週間程度)、麻酔も1回で済むために身体的、経済的な負担の軽減を期待できます。また両ひざが同程度に悪いケースも少なくなく、同時に行うことで左右のバランスが良くなるためにリハビリをスムーズに進めることが可能となります。
*写真・動画はご本人の承諾を得て掲載しております。(執刀/撮影:森島)
*術後の経過には個人差があります。
〈手術前のレントゲン〉
〈手術後のレントゲン〉(正面・側面)
右膝

左膝

〈術後の膝の曲がり〉

術後4日目
術後9日目
当院にて両側の人工ひざ関節全置換術(TKA)を施行。
高度のO脚変形があり、歩行時のひざの不安定感も強い症例です。
キネマティックアライメント法で手術を行いました。
キネマティックアライメントとは、ひざ本来の靭帯のバランス、下肢の形を取り戻すことに重点を置いた方法です。
*写真・動画はご本人の承諾を得て掲載しております。(執刀/撮影:森島)
*術後の経過には個人差があります。
〈手術前のレントゲン〉
〈手術後のレントゲン〉
〈下肢全長の変化〉
〈術後の膝の曲がり〉
手術前
手術後